Что такое серозометра?
Серозометра – это скопление серозного экссудата внутри матки, вызванное рядом патологических состояний, которое сопровождается гиперпродукцией или нарушением вывода жидкости во влагалище. Серозометра не считается самостоятельным заболеванием, потому не включается в классификацию МКБ-10 и не имеет свой код: она всегда становится симптомом иных гинекологических болезней и прочих патологий.
Чаще всего проблема обнаруживается у женщин после 60-70 лет в постменопаузе на фоне инволютивных изменений слизистой оболочки. До 1/3 пациенток указанного возраста хотя бы раз сталкиваются с серозометрой. У девушек и женщин из прочих возрастных групп патология довольно редка и требует немедленного поиска причин и лечения.
Предпосылки для развития патологии
Во многих случаях патологическое состояние возникает на фоне сужения или заращивания канала шейки, что случается из-за атрофических процессов в менопаузе. Отсутствие наблюдений за здоровьем в течение долгого времени может привести к полному перекрытию цервикального канала или его частичному закрытию спайками. В итоге вырабатываемая жидкость не может оттекать из полости матки, а накапливается в ней.
Причинами появления спаек становятся:
- естественные гормональные изменения (снижение выработки эстрогенов);
- длительное течение воспалительных заболеваний – цервицита, эндометрита.
Почему у одних женщин в менопаузе развивается данная гинекологическая патология, а у других нет? Важное значение в ее появлении имеет снижение местной иммунной защиты, слишком раннее старение организма, быстрое прогрессирование менопаузальных изменений.
Также повышают риск возникновения серозометры следующие факторы:
- курение;
- частое потребление алкоголя;
- бесконтрольный прием оральных контрацептивов;
- беспорядочная половая жизнь;
- эндокринные болезни;
- низкая физическая активность;
- злоупотребление вредной пищей;
- дисбактериоз влагалища.
Серозометра может случиться и в репродуктивном возрасте, а также перед наступлением менопаузы или во время нее.
Наиболее опасной причиной патологии становятся опухолевые образования – злокачественные опухоли маточного зева, внутреннего перешейка и даже придатков.
Из доброкачественных опухолей спровоцировать проблему способны миомы и полипы, особенно, множественные или крупные, а также гиперплазия слизистой.
Спайки, рубцы могут сформироваться у женщины на фоне:
- частых абортов;
- диагностических выскабливаний;
- проникающих исследований и методов лечения;
- хронических воспалений;
- эндометриоза.
При остром воспалении яичников резкое увеличение одного из них также может привести к сдавливанию матки и скоплению в ней жидкости. У молодых женщин развитие серозометры возможно при внематочной беременности. После родов в полости матки иногда скапливается плазма, слизь, что также способно стать причиной серозометры.
Общие сведения
Период естественного угасания менструальной и репродуктивной функции называется климактерическим. Он начинается в 45–50 лет и характеризуется инволютивными процессами в женской половой системе. Ключевую роль в происходящих изменениях играют гормоны. Сначала происходит дисбаланс центральной регуляции яичниковой функции, из-за чего цикл становится ановуляторным.
Когда уровень эстрогенов становится мал, реагирует эндометрий – в нем на смену пролиферативным процессам приходит атрофия. Матка уменьшается в размерах, ее слизистая оболочка перестает участвовать в циклическом обновлении, в ней могут формироваться синехии (спайки). Дефицит гормонов сказывается и на других системах: сердечно-сосудистой, вегетативной, мочевыводящей. Но это вписывается в понятие физиологической нормы для этого периода.
Как развивается?
По мере прогрессирования органических нарушений (разрастание опухолей, спаек, отека при воспалительном процессе и т.д.) возникает препятствие для оттока естественных выделений эндометрия или воспалительного экссудата. В итоге жидкость накапливается в полости женского репродуктивного органа. Матка растет в размерах, сдавливает расположенные рядом органы – кишки, мочевой пузырь, нервные стволы и сосуды. Без начала срочного лечения есть риск присоединения воспаления, появления гноя и развития пиометры.
Симптомы заболевания
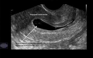
Симптоматика имеется не всех клинических случаях – обычно при небольшом количестве жидкости внутри матки признаки патологии отсутствуют. В такой ситуации выявить проблему можно только по УЗИ, которое проводится планово или по другим показаниям.
В дальнейшем по мере накопления экссудата в полости матки и ее разрастания появляется основной симптомокомплекс серозометры:
- ноющие боли в животе выше лобка, увеличивающиеся в интенсивности по мере сдавливания нервных стволов;
- неприятные ощущения при половом акте;
- усиление боли при физической нагрузке;
- чувство давления на мочевой пузырь, аномально частые позывы к мочеиспусканию;
- затруднения с опорожнением кишечника (если матка сдавила толстую кишку);
- визуально заметный рост окружности живота (иногда женщина выглядит как беременная из-за резкого возрастания размеров матки);
- водянистые выделения из влагалища сероватого цвета (возникают при просачивании части экссудата из полости матки), которые чаще всего появляются после секса.
Выделения могут быть и сильными, если проходимость канала сохранена, несмотря на его частичное заращивание. Если внутри репродуктивной системы начинается воспаление, выделения могут сменить цвет на желтоватый – в них появляются гнойные примеси.
В таком случае боль усиливается, присоединяются такие признаки, как: слабость, разбитость, температура тела повышается до субфебрильных значений.
Методы диагностики
Чаще всего гинеколог может поставить диагноз серозометра уже на первичном осмотре в зеркалах. Признаками служат увеличение размеров матки, присутствие серозных выделений на стенках вагинального тракта. После женщине обязательно рекомендуется прохождение УЗИ – трансабдоминального и трансвагинального.
Это простое исследование покажет не только наличие серозометры, но и поможет установить ее причины:
- врожденные пороки развития матки (обычно у молодых девушек);
- опухоли;
- спайки у женщин в климаксе, постменопаузе;
- гиперплазию эндометрия и эндометриоз и т.д.
Если причина патологии не найдена, обязательно рекомендуется более детальное исследование – МРТ, КТ малого таза, при необходимости, с контрастированием. Для взятия биопсии или прямого визуального исследования выполняются эндоскопические методики – кольпоскопия, цервикоскопия, гистероскопия. Обычно такие манипуляции назначаются женщинам при наличии рубцов или любых опухолей, а также эндометриоза.
В качестве дополнительных методик производятся:
- мазок на онкоцитологию;
- мазок на степень чистоты;
- определение онкомаркеров в крови;
- мазки на инфекции.
Серозометру нужно отличать от других патологий, которые вызывают накопление другой жидкости в матке (крови, гнойных выделений). Чаще всего дифференцировать их можно по УЗИ и результатам мазка на состав клеток.
Прогноз и профилактика
В том случае если своевременно диагностировать проблему и начать комплексное лечение, то прогнозы на выздоровление очень даже хорошие, но как говориться болезнь легче всего предотвратить, нежели лечить, поэтому рекомендуется выполнять профилактические меры. Для того чтобы исключить возможный риск развития серозометры необходимо стараться вести здоровый образ жизни, питаться правильно и рационально, заниматься защищенным сексом, а также систематически обследоваться. В период менопаузы и посменопаузы нужно регулярно посещать гинеколога. Только прислушиваясь к своему организму и при первых симптомах обращаясь за медицинской помощью можно избавиться от различных патологий без вреда для здоровья.
Источник
Лечение
Выбор методов лечения будет зависеть от причины патологии, характера жидкости (воспалительный или невоспалительный), ее объема, возраста пациентки, степени запущенности основной болезни. Если причина не выявлена, жидкость присутствует в малом объеме (до 5 мл), рекомендуется регулярное наблюдение с проведением осмотра и УЗИ.
Женщинам в менопаузе, постменопаузе обычно назначаются системные или местные гормональные препараты на основе эстрадиола – Эстрокад, Эстровагин, Овестин. Это улучшает состояние слизистой оболочки, снижает явления атрофии и приводит к восстановлению проходимости внутреннего зева матки.
При воспалительном процессе показано проведение антибактериальной терапии. Обычно антибиотики подбирают по результатам мазка на бакпосев, назначают курс до 14 дней (в таблетках или уколах). В обязательном порядке рекомендуются препараты для улучшения местного иммунитета (чаще всего – свечи с лактобациллами), а также общего иммунитета – витамины, иммуностимуляторы.
Для стимуляции кровообращения и оптимизации функционального состояния эндометрия женщинам назначают:
- физиотерапию (магнит, электрофорез, лазер), гинекологический массаж;
- препараты с биостимулирующим действием – экстракт алоэ;
- сосудистые средства – Актовегин, Детралекс;
- регенерирующие лекарства – раствор Лидазы, Лонгидазы.
При отсутствии улучшений назначают гистероскопию с удалением серозной жидкости. Чаще всего параллельно проводится выскабливание с взятием проб на гистологический анализ. Возможен вариант с раскрытием цервикального канала без выскабливания, когда жидкость самостоятельно покидает полость матки.
В ряде случаев без операции вылечить серозометру не получается. Например, при большой площади спаек приходится проводить их бужирование или удаление, при миоме или полипе производят полипэктомию, миомэктомию.
В обязательном порядке оперируют опухолевые образования, порой их удаляют вместе с маткой.
Лечение народными средствами допускается только в качестве вспомогательной меры и лишь с одобрения врача, поскольку при некоторых болезнях лучше не осуществлять подобные эксперименты. Обычно нетрадиционное лечение практикуется на начальных стадиях заболевания. Популярным рецептом является настой боровой матки, который улучшает функцию матки и цервикального канала. Нужно заварить 20 г растения 500 мл кипятка, настоять час. Пить средство трижды в сутки по 100 мл, курс – 2 недели.
Народные средства
При серозометре в постменопаузе лечение травами может дать положительные результаты, если отсутствуют сопутствующие заболевания:
- Алоэ – эффективное средство от воспалительных процессов. Сок растения и мед добавляют в стакан теплого молока, выпивают в течение дня.
- Сок сельдерея пьют по 50 мл трижды в день.
- Чайную ложку семян подорожника заливают двумя стаканами кипятка, 10 минут томят на огне. Пить 2 раза в день по ст. л.
- Адонис и тимус смешивают в равных частях, ст. л. сбора заваривают стаканом горячей воды, настаивают и принимают до приема пищи.
- Для спринцевания применяют отвары с ромашкой, шалфеем, календулой, корой дуба, чистотелом.
- Паровые ванночки следует принимать, только проконсультировавшись с лечащим врачом. Ванночки с горчичным порошком улучшают кровообращение в органах малого таза. Горчицу следует растворить в воде по 15 г на литр воды.
- Отварить свежие плоды калины, настоять в течение 30 минут и пить этот отвар трижды в день по 50 мл.
- Измельчить кору акации и смешать с цветами дерева.10 г сырья заливают стаканом водки и выдерживают 2 недели. 20 капель настойки разводят в воде и пьют раз в день.
В любом случае лечение народными средствами должно быть лишь частью основной терапии. Использование любых рецептов лучше предварительно согласовать с врачом.
Профилактические мероприятия направлены на своевременное лечение воспалительных заболеваний органов малого таза, соблюдение культуры половых взаимоотношений с использованием контрацептивов. Необходим отказ от пагубных привычек, которые сокращают молодость и ухудшают здоровье женского организма.




 
 

 
 
							
							
						 
							 
 
 
