Патологии шейки матки опасны тем, что часто протекают бессимптомно. 30% случаев рака шейки матки диагностируются на поздних стадиях. Паракератоз шейки матки – признак нарушения нормального строения слизистой оболочки, может являться предвестником онкологического заболевания.
Изменения или новообразования на шейке матки подлежат тщательному наблюдению и изучению. В случае малейшего подозрения на перерождение в рак или предраковое состояние требуется скорейшая терапия.
Чем является паракератоз шейки матки?
Врачи не считают паракератоз отдельным заболеванием. По их мнению, он – признак других различных патологий шейки матки. Расстройство появляется в одной связке с гиперкератозом и акантозом:
- Для гиперкератоза характерно эпителиальное ороговение. Когда с шейкой матки все нормально, ее эпителий не роговеет вообще. Гиперкератоз же вызывает образование лишенных гликогена чешуек.
- Что же касается акантоза, то для него, помимо все того же утолщения эпителия, типично увеличение длины межсосочковых отростков.
Чаще всего это трио патологий наблюдается у больных опасным предраковым заболеванием лейкоплакией.
Причины
Паракератоз может быть вызван как внутренними (связанными с физиологическими особенностями организма), так и внешними факторами. Самые распространенные причины болезни – это:
- хронические воспалительные процессы, вызванные патогенами бактериальной и вирусной природы, которые передаются во время сексуальной близости. Основные из них – это хламидии, микоплазмы, а также вирусы, вызывающие появление папиллом, развитие герпеса и уреаплазмоза;
- операции на маточной шейке, роды и интенсивные медицинские процедуры с элементами хирургического вмешательства;
- острая нехватка цинка в женском организме;
- серьезные гормональные проблемы, особенно порожденные повышенным содержанием эстрогена и недостатком прогестерона;
- дисфункции гипофиза;
- патологическое отсутствие овуляции;
- проблемы с иммунитетом, вызванные вирусом иммунодефицита (ВИЧ), хроническими заболеваниями кроветворных органов (в первую очередь печени), клиническими депрессиями и «нещадящими» голодными диетами;
- неоднократное искусственное прерывание беременности (в том числе, и на ранних стадиях), частые выкидыши;
- маточный кюретаж (выскабливание), которое проводилось в диагностических целях (для взятия пробы на анализ);
- нарушение правил «влагалищной» гигиены;
- радикальные способы избавления от маточных эрозий (путем электропенетраций, прижиганий);
- неправильно установленная или некачественная контрацептивная спираль;
- различные виды смещения внутренних органов (эктопии). Особенно те из них, с которыми часто случаются рецидивы;
- экстремальные сексуальные практики, наподобие фистинга (стимуляция влагалища рукой, зажатой в кулак), использование для самоудовлетворения чересчур больших фаллоимитаторов, грубый, очень быстрый секс;
- воспаления слизистой оболочки шейки матки (экзо- и эндоцервицит), а также воспалительные процессы в слизистой влагалища (вагинит).
Кроме того, паракератоз могут вызывать сильные эмоциональные перегрузки, химиотерапия и плохая экология.
Клиническая картина
Вовремя распознать и поставить конкретный диагноз на ранних стадиях патологии достаточно проблематично из-за ее бессимптомного течения. Вдобавок ситуация усложняется нерегулярностью гинекологических обследований в жизни современных женщин.
Однако с прогрессированием аномалии можно заметить несколько определенных симптомов:
- кровянистые выделения между менструациями;
- появление капелек крови после интимной близости;
- возникновение выделений с характерным запахом;
- постоянные обильные выделения.
Признаки дискератоза плоского эпителия шейки матки могут имитировать клинические картины множества других заболеваний. Именно поэтому самостоятельно определять свой диагноз и тем более назначать лекарства не стоит.
Симптомы
На начальных стадиях выявить паракератоз непросто, так как каких-то особых симптомов он не вызывает. Вот почему крайне важно в целях профилактики не реже раза в год ходить к гинекологу. Только он сможет определить визуально изменения эпителия на шейке и установить через обследования и анализы, что это такое – отдельная патология или признак более серьезного, по сравнению с паракератозом, заболевания.
Нередко паракератоз плохо заметен на фоне ярко выраженных проявлений болезни, его вызвавшей. Подобное особо часто случается с инфекционными заболеваниями, которые обычно сопровождаются болью или лихорадкой. Эти симптомы «глушат» признаки паракератоза. Однако патология может быть и более заметной. В подобном случае для паракератоза характерны такие симптомы:
- выделение крови после полового акта в неменструальный период. Выделяется ее, как правило, немного;
- неприятные болезненные ощущения во время коитуса;
- увеличенное (незначительно) количество влагалищного секрета. При этом его запах неприятен или, по крайней мере, не такой как всегда.
Таким образом, даже признаки ярко выраженного паракератоза не всегда заметны. Выявить их может только специальная диагностика.
Диагностика
Для постановки правильного диагноза врач-гинеколог обязательно должен знать обо всех перенесенных пациенткой операциях, болезнях, о частоте и характере ее сексуальных контактов, об образе жизни.
Полноценный скрининг включает 4 обязательные процедуры:
- Онкоцитологию.
- Жидкостную цитологию.
- Кольпоскопию.
- Гистологическое исследование.
Паракератоз очень похож на псевдопаракератоз – сильную атрофию клеток, которая часто заканчивается появлением новообразований. Поэтому, чтобы точно удостовериться в том, что шейка поражена именно паракератозом, важно пройти все 4 скрининговые процедуры.
Жидкостная цитология
С помощью цитологического исследования на наличие патологий проверяются клетки, взятые со слизистой оболочки шейки матки. Жидкостный метод исследований включает следующие этапы:
- На специальную мембрану размещают образец клеток, взятых со слизистой шейки.
- Затем с ними проделываются несколько специальных манипуляций для создания мазка для анализа – окрашивание, дисперсия, а также перемешивание. При этом применяется специальный стабилизирующий раствор.
- Далее проводится микроскопический анализ на наличие патологий.
Жидкостная цитология считается довольно точным способом выявления проблем на клеточном уровне.
Онкоцитология
При помощи онкоцитологии маточной шейки выясняется, нет ли у пациентки раковых клеток или доброкачественных новообразований. Методика исследования во многом схожа с обычной цитологией (в том числе, жидкостной).
Кольпоскопия
При помощи кольпоскопического метода специалист определяет точное место и размер пораженного болезнью участка. Кольпоскоп позволяет обнаружить даже микроскопические патологические изменения слизистой шейки матки.
Гиперкератоз при беременности: последствия и осложнения
При взятии на учет по беременности женщине, с диагностической целью, рекомендовано сделать кольпоскопию. При выявлении гиперкератоза учитываются факторы:
- степень лейкоплакии;
- срок беременности;
- результаты анализов.
Подход к каждой беременной должен быть индивидуальным. Кератоз шейки матки не является показанием для прерывания беременности. Вопрос о ее завершении возникает лишь тогда, когда подтверждено злокачественное течение процесса.
Лечение гиперкератоза во время беременности, в основном местное и направлено на укрепление организма.
К местному лечению относятся:
- противовоспалительные свечи (синтомициновые, облепиховые, метилурациловые);
- противогрибковые свечи («Тержинан», «Микожинакс», «Пимафуцин»);
- общеукрепляющие («Ревитакса», «Мумиё»);
- пробиотики для восстановления флоры во влагалище («Вагинорм», «Вагисан» «Вагилак»);
Во время беременности иммунитет в женском организме снижается. Для его восстановления нужны витамины и полноценное питание.
Предпочитаемые витаминные комплексы, в которых сбалансировано количество нужных витаминов – это «Элевит», «Прегнавит».
Витамины группы «Е», «С», «А», «В» должны входить в состав питания. Они находятся в следующих продуктах:
- витамином «В» богаты – абрикосы, орехи, картофель, зеленый горошек, фасоль;
- в рыбе, печени, орехах, говядине много витамина «Е»;
- морковь, яйца, рыба, печень, кинза, сыр, молоко – источники витамина «А»;
- витамин «С» находится: в лимонах, киви, черной смородине, капусте, листьях салата и шпината.
Период беременности длительный и напряженный. Члены семьи должны обеспечить комфортное состояние женщине, которая принесет маленькую радость в дом. Для создания условий желательно:
- организовать вечерние прогулки;
- взять на себя домашнюю работу;
- следить за полноценным питанием;
- окружить заботой и любовью.
Ничего сложного в этом нет, только приятные хлопоты.
Если у беременной выявлен гиперкератоз многослойного плоского эпителия на ранних стадиях, при правильном лечении, последствий не будет. Женщина может продолжать свой род не один раз.
Осложнением считается перерождение клеток плоского эпителия, из доброкачественных в злокачественное новообразование. Беременность провоцирует процесс деления, он становится хаотичным и неуправляемым.
Незначительный гиперкератоз шейки матки не влияет на возможность забеременеть, выносить и родить ребенка. Если заболевание перешло в более тяжелую форму, то решение о лечении в каждом конкретном случае должен принимать врач после проведенных обследований.
Лечение
Лечение паракератоза преследует две цели:
- Избавление от него самого. Чтобы болезнь излечить, придется попринимать противомикробные антивоспалительные средства. Лечить паракератоз различными «народными» средствами (ванночки, тампончики, спринцовки) не рекомендуется. Подобная терапия неэффективная, а подчас даже вредная.
- Устранение всех очагов заболевания. Методы их ликвидации могут разниться. Здесь все зависит от того, нет ли у пациентки признаков зарождающейся злокачественной или доброкачественной опухоли. Стандартные методы устранения участков с паракератозом – это:
- вапоризация (выпаривание) с помощью лазера;
- диатермокоагуляция (прижигание током);
- уничтожение холодом (криодеструкция с помощью жидкого сверххолодного азота);
- аргоноплазменная коагуляция (с помощью плазмы газа аргона);
- инвазивное вмешательство. Оно включает ампутацию, а также конизацию (удаление участка конусообразной формы). Инвазивное вмешательство применяется только, если очаговый паракератоз начал переходить в предраковую лейкоплакию, появилось новообразование или рубцовая деформация.
Устранять очаги необязательно, если следов зарождающегося новообразования нет, а пораженные заболеванием участки занимают небольшую площадь. В таком случае хватит и простого лечения паракератоза фармацевтическими средствами.
Лечение алкогольной зависимости
В авторской методике лечения алкогольной зависимости Сергея Дыгая лежит глубинное понимание проблемы алкоголизма, используются традиционные и нетрадиционные подходы лечения — биоэнерготерапия, медитация, психотерапия.
Избавление от алкогольной зависимости происходит через восстановление биополя человека, другими словами энергетики организма. Восстановленное биополе способствует нормализации всех биохимических процессов, что в свою очередь приводит к выздоровлению.
Профилактические меры
- поборовшая паракератоз или не желающая им заболеть, должна принимать препараты, в которых содержится цинк. В таком случае ей не придется иметь дело с этой неприятной патологией;
- рискует заболеть паракератозом больше остальных, если у нее есть проблемы с эндокринной системой или ей делали операции на маточной шейке. Такой даме следует быть особенно разборчивой в сексуальных партнерах, так как любая половая инфекция может привести к появлению болезни. Также ей нельзя беспорядочно пить первые попавшиеся гормональные препараты. Делать это следует только после консультации с врачом.
Для того, чтобы паракератоз обходил стороной, нужно следовать таким нехитрым правилам:
- Обязательно привиться от вируса папилломы (ВПЧ-инфекции).
- Минимизировать незащищенный секс с «непроверенным» партнером.
- Не забывать о половой гигиене – ежедневно мыть интимные органы (лучше всего с помощью травяных отваров).
- Как можно реже купаться в чересчур горячей воде.
- Регулярно посещать гинеколога.
- Не курить и стараться пассивно не вдыхать дым.
- Не пить крепкое спиртное и не есть жирную пищу.
- Делать зарядку, высыпаться, не нервничать без особого повода.
Заболевания, охватывающие женскую половую сферу, нередко серьезно угрожают реализации детородной функции. Многие из них опасны не только для здоровья, но и жизни пациентки. Самый большой страх женщины – перерождение патологии в злокачественное образование. Чтобы избежать подобного, женщина просто обязана постоянно наблюдаться у специалиста и не затягивать с посещением доктора при появлении малейших странных симптомов.
Паракератоз шейки матки – состояние, которое проявляется патологическим ороговением покровного эпителия цервикса. Для здорового органа такое явление не характерно, относительным исключением можно считать псевдопаракератоз, при котором ороговевшие клетки могут появляться как результат дегенеративных процессов в эндоцервикальных мазках во второй половине цикла, а также в постменопаузальный период.
Регулярные визиты к врачу позволят выявить патологию на ранней стадии
А что такое паракератоз с точки зрения этиологии? Эта патология рассматривается как следствие активных воспалительных процессов, а также травмирования цервикального канала во время родов, абортов, оперативных вмешательств. Нужно обратить внимание, что это состояние является фоновым, то есть при некоторых обстоятельствах может спровоцировать диспластические изменения в тканях, что грозит онкопатологиями. Поэтому при выявлении паракератоза должны быть немедленно предприняты терапевтические меры.
Кому и почему нельзя?
Даже некрепкие алкогольные напитки (пиво или вино) содержат этиловый спирт этанол, оказывающий негативное воздействие на организм человека.
Проходя по пищеварительному тракту, он сначала раздражает слизистую желудка, затем всасывается кровеносной системой, вызывая первые признаки похмелья (головокружение, скачки настроения, легкую эйфорию) и в конечном счете достигает ослабленной воспалением поджелудочной железы.
Здесь принятый алкоголь опасен тем, что активизирует выработку ферментов, в результате чего на фоне способности этанола выводить из клеток воду растет концентрация панкреатического секрета.
Планируя застолье, следует также учитывать, что при панкреатите и сопутствующих ему заболеваниях пациент употребляет большое количество медицинских препаратов, большинство из которых вредно совмещать со спиртом, иначе их воздействие будет неэффективным.
В силу сочетания этих факторов больным с нарушениями работы желудочно-кишечного тракта противопоказано принимать любые дозы спиртных напитков.
Вред, который приносит алкоголь организму, трудно преувеличить. Этанол вызывает тяжелые нарушения кровообращения, плохо влияет на нервную систему.
Но больше всего крепкие напитки оказывают негативное воздействие на органы пищеварения. Употребление алкоголя противопоказано людям с патологиями ЖКТ, нарушениями психики, беременным, детям.
Отеки, разрушение здоровых тканей и обострение воспалительных процессов — неполный перечень последствий дегустации горячительных напитков. Этанол в данных случаях опасен для жизни.
Любой алкоголь опасен для больного с диагнозом панкреатит. Например, пиво, содержащее меньше всего алкоголя, может показаться самым безвредным. Но оно оказывает на организм больного панкреатитом двойное негативное воздействие. Гликемический индекс этого напитка 110, что на 10 ед. выше, чем у сахара. Для его усвоения требуется большое количество инсулина, что создает для воспаленной железы дополнительную нагрузку.
Многие больные считают, что в период ремиссии пиво, хорошее вино или немного водки на праздничном застолье не навредит. Однако их поджелудочная получает двойной удар из-за воздействия этанола и жирной еды.
Особый вред оказывает этанол при постановке диагноза алкогольный панкреатит. Таким пациентам бывает сложно отказаться от спиртосодержащих напитков даже при самых строгих противопоказаниях.
В этом случае им необходимо обратиться к врачу-наркологу, который поможет избавиться от алкогольной зависимости. Для восстановления и разгрузки поджелудочного органа во время похмелья таким больным рекомендуется кратковременное голодание и прием желчегонных средств.
Врачи утверждают, алкоголь способствует развитию и обострению воспаления поджелудочной железы. Это объясняется его влиянием на ткани всего организма и данного органа, в частности.
Как проявляется паракератоз
По сути паракератоз является сбоем в процессе ороговения слизистой оболочки цервикального канала. Состояние не представляет собой самостоятельную болезнь, оно является симптомом какой-либо патологии цервикса.
Паракератоз проявляется неполным ороговением, но при отсутствии адекватной терапии может трансформироваться в гиперкератоз, то есть усиленное ороговение. В этом случае верхний слой слизистой выстилки шейки ороговевает, а очаги патологического процесса по структуре представляют собой несколько эпителиальных слоев, не подвергшихся слущиванию.
Как паракератоз, так и гиперкератоз характеризуются такими признаками:
- зернистый слой отсутствует;
- роговой слой утолщен;
- в клетках выявляются палочковидные ядра.
Прогрессирование патологического процесса провоцирует снижение эластичности тканей, при этом очаги поражения имеют огрубевший, сморщенный вид.
Паракератоз является характерным признаком такого заболевания, как лейкоплакия шейки матки. Его определяют как предрак, поэтому выявление этой болезни требует незамедлительного начала лечения.
Различают два типа паракератоза: очаговый и поверхностный. Поверхностный вариант предполагает вовлечение небольшого участка эпителия в процесс, при этом отсутствует инвазивный характер. Эта разновидность патологического состояния нуждается в наблюдении, но редко представляет опасность.
Очаговый паракератоз является опасным явлением. При этом очаги поражение обладают четкими границами, изменение структуры клеток ярко выражено. Состояние требует лечения. Именно очаговый паракератоз и является симптомом лейкоплакии.
Кроме того, очаговый вариант состояния характерен и для диспластических повреждений. При цервикальной интраэпителиальной неоплазии (CIN) в начальной и поздней стадии определяются участки с паракератозом.
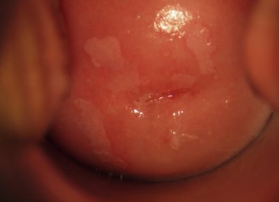
Визуально патологические очаги определяются как плоские пятна белого цвета, имеющие матовый отлив. Частое место локализации – слизистая влагалищной порции цервикса, редкое – глубина шеечного канала. Наиболее подвержены прогрессированию состояния женщины в детородном возрасте.
Что такое паракератоз?
Паракератоз – не диагноз и не самостоятельное заболевание. Наряду с гиперкератозом и акантозом, паракератоз является проявлением лейкоплакии шейки матки, которая в свою очередь является предраковым состоянием.
Паракератоз – это процесс, при котором происходит неполное ороговение плоского эпителия. Если этот процесс не подвергается своевременному лечению, то возникает гиперкератоз – полное ороговение. Для этих состояний характерны следующие общие морфологические черты:
- Отсутствие слоя зернистых клеток;
- Усиливается рост и объем клеток рогового слоя;
- В них начинают появляться ядра, имеющие палочковидное строение.
Существует также понятие псевдопаракератоз. Этот процесс считается вариантом нормы для женского организма. Происходит такое явление обычно во второй половине менструального цикла или в период менопаузы.
В мазках с поверхности шейки матки при этом обнаруживаются единичные участки ороговения. Псевдопаракератоз возникает в связи с дегенеративными изменениями эпителия под воздействием изменений в соотношении женских половых гормонов.
Причины развития кератоза
Вирус папилломы человека
Основной этиологический фактор паракератоза – присутствие в организме вируса папилломы человека, относящегося к высокоонкогенному типу. Активация инфицирования этим вирусов провоцирует клеточные изменения в форме патологического и избыточного ороговения, нарушенной структуры ядерного аппарата клеток (множественные ядра, койлоцитоз).
Способствуют прогрессированию состояния также и некоторые другие факторы, а именно:
- травматизация цервикса в ходе родов, абортов, выскабливания, установки внутриматочной спирали, других манипуляций;
- терапия эрозии шейки матки;
- воспалительные заболевания, в том числе и спровоцированные инфекциями, передающимися половым путем;
- гормональный дисбаланс (недостаточная выработка прогестерона);
- дисфункции яичников;
- наличие очагов эктопии.
Конкретная причина определяется в ходе полного обследования пациентки.
В качестве дополнительных провокаторов патологии рассматриваются:
- ослабленная иммунная система;
- истощение нервной системы;
- переутомление организма;
- сниженная сопротивляемость.
Симптомы кератоза
Паракератоз и гиперкератоз зачастую протекают бессимптомно, в результате женщина может и не знать о существовании проблемы. Поэтому так важны регулярные профилактические осмотры, которые помогают выявлять патологии, протекающие без симптомов или с малым их количеством.
В ряде ситуаций симптоматика может быть стерта из-за наличия активных симптомов провоцирующей патологии, чаще всего – инфекционно-воспалительного характера.
Заподозрить проблему позволяют такие проявления:
- дискомфортные ощущения во время полового контакта;
- кровянистые выделения в небольшом объеме после секса;
- избыточное образование вагинального секрета, который может иметь неприятный запах.
Наличие таких симптомов должно стать поводом для обязательного обращения к гинекологу. Врач проведет осмотр, назначит дополнительные диагностические меры, поставит диагноз и определит направление курса терапевтической коррекции.
Методы диагностики гиперкератоза
Помимо гинекологического осмотра могут понадобиться такие меры диагностики:
- Проба Шиллера.
- Кольпоскопия в расширенном формате.
- Биопсия с последующим гистологическим изучением биоматериала.
- Исследование мазков на флору.
- Исследование крови и выделений на инфекции, которые передаются половым путем, в том числе и на вирус папилломы человека.
- Анализ гормонального фона.
- Анализ иммунного статуса.
Результаты перечисленных диагностических методик позволят врачу поставить диагноз и определить тактику лечения.
Профилактика
Как и с большинством гинекологических заболеваний, выявить патологическое состояние и начать корректное лечение необходимо начать терапию как можно раньше. Если пренебрегать врачебными рекомендациями, то могут развиться некоторые осложнения, в том числе и предраковая лейкоплакия.
Каждая женщина, которая желает уберечься от паракератоза, либо уже прошедшая терапию, должна принимать лекарственные препараты с высоким содержанием цинка, в профилактических мерах. Необходимо следить и за состоянием эндокринной системы. Категорически не рекомендуется самостоятельно гормональные препараты.
Помимо этого специалисты рекомендуют придерживаться следующих правил:
- Выполнить прививку от вируса папилломы человека;
- Вступать в интимную близость только с проверенными партнерами, либо же использовать презерватив;
- Лучше часто не принимать чрезмерно горячую ванну;
- Следует регулярно проходить профилактические осмотры у гинеколога;
- Необходимо отказаться от табакокурения и употребления алкоголя;
- Нужно нормализовать режим отдыха и работы, избегать стрессовых ситуаций.
Различные гинекологические заболевания негативно сказываются на репродуктивной системе женщины. Нередко они становятся причинами развития рака и бесплодия. Однако всего этого можно избежать, если своевременно выполнять лечение сопутствующих заболеваний и вести здоровый образ жизни.
Поделиться:
Как лечить паракератоз
Если выявлен паракератоз шейки матки, лечение должно подбираться в индивидуальном порядке, исходя из особенностей конкретного клинического случая. Берется во внимание степень патологического процесса, возраст пациентки и общее состояние ее здоровья. Самолечение недопустимо и невозможно, состояние должно подвергаться коррекции по назначениям и под наблюдением врача.
Консервативная терапия предполагает устранение провоцирующего проблему фактора. Назначается лечение бактериальных, вирусных инфекционных заболеваний, дисбактериоза влагалища. Предпринимаются меры для улучшения функционирования иммунной системы.
Хирургическая коррекция предполагает удаление очагов патологии. Конкретная методика определяется согласно размерам и локализации участков паракератоза. В спектр возможных методов включены такие:
Инвазивные методики целесообразны в случае большой распространенности процесса и наличия неопластических изменений.
Для предупреждения паракератоза рекомендуется регулярно посещать врача с профилактическими целями. Также рекомендована вакцинация против папилломавирусной инфекции.
Патологии шейки матки опасны тем, что часто протекают бессимптомно. 30% случаев рака шейки матки диагностируются на поздних стадиях. Паракератоз шейки матки – признак нарушения нормального строения слизистой оболочки, может являться предвестником онкологического заболевания.
Изменения или новообразования на шейке матки подлежат тщательному наблюдению и изучению. В случае малейшего подозрения на перерождение в рак или предраковое состояние требуется скорейшая терапия.
Медикаментозное лечение
Медикаментозная терапия направлена в первую очередь на устранение причины патологического изменения тканей. Если речь идет о вирусном заболевании, то пациентам назначают противовирусные препараты, интерферон. При бактериальных инфекциях необходим прием антибиотиков. Для того чтобы снять воспалительный процесс, используются нестероидные противовоспалительные средства.
Кроме того, важно следить за состоянием иммунной системы. Пациенткам необходима витаминотерапия. Часто врачи рекомендуют витамины с цинком — для женщин этот минерал очень важен, ведь нередко именно его дефицит запускает механизм ороговения тканей.
Что это такое?
Паракератоз – это состояние многослойного плоского эпителия слизистой оболочки, при котором появляются зоны ороговения. Деление клеток при этом происходит ускоренно, а в роговом слое клеток остаются ядра, что не является нормой.
Паракератоз – это не самостоятельное заболевание, а один из симптомов основной болезни. В 70% случаев паракератоз шейки матки свидетельствует о наличии лейкоплакии. Также он является признаком хронического воспаления.
Важно. Паракератоз может перерождаться в рак. Примерно в 30% всех случаев лейкоплакии с паракератозом имеется риск озлокачествления.
Паракератоз — это неполное ороговение эпителия. Если же его не лечить, то возникает гиперкератоз — полное ороговение тканей.
Что такое дискератоз кожи
Дискератоз – это патологическое явление, во время которого нарушаются процессы ороговения верхнего слоя кожи, что сопровождается десмолизом – растворением межклеточных мостиков, которые соединяют клетки росткового слоя эпидермиса. Структура цитоплазмы становится слегка зернистой.
Нормальное функционирование кожи, когда формируются новые роговые пластинки по мере отмирания старых. Если нарушается такой кругооборот, в клетках начинает вырабатываться роговое вещество и, создавая новые слои на поверхности эпидермиса, старые клетки перестают вовремя отмирать.
В результате дискератоза клетки становятся более объемными, круглеют и происходит их отделение от оставшихся клеток эпидермиса. Вместе с этим тонофибриллы (тонкие белковые волокна), которые сохраняют форму клеток плоского эпителия, отходят от десмосом – соединений, что совокупляют клетки друг с другом.
У детей врожденный дискератоз диагностируется не реже, чем у взрослого человека. Аномальное ороговение эпидермы на коже головы и лица вызывает наиболее глубокую психологическую травму, так как заболевание негативно отражается на внешнем облике человека.
Причины развития паракератоза
Для развития паракератоза эпителия нужна совокупность определенных факторов – непосредственных причин (внешние факторы) и соответствующих условий (внутренние факторы).
К причинам, вызывающим нарушение деления клеток характерным для паракератоза, относят:
- наличие хронического воспаления;
- гормональные нарушения;
- инфицирование вирусом папилломы человека (ВПЧ);
- заражение ЗППП (заболевания передающиеся половым путем);
- травмы слизистой оболочки вследствие оперативных вмешательств;
- неправильное использование внутриматочной спирали.
Длительно существующее воспаление приводит к сбоям в делении клеток. Одно из проявлений этого нарушения – это, собственно, паракератоз.
Нарушения баланса половых гормонов достаточно для развития паракератоза. Слизистая оболочка шейки матки чувствительна к изменениям гормонов в крови, и иногда реагирует на изменение гормонального фона возникновением участков ороговения.
Вирус папилломы человека способен вызывать повреждение клеток, нарушая в последующем их деление. С этой особенностью связана высокая онкогенность некоторых типов этого вируса.
ЗППП вызывают воспаление в слизистых покровах и, соответственно, нарушают структуру ткани.
Частые оперативные вмешательства, аборты, некорректно установленные внутриматочные спирали приводят к травматизации шейки матки. Хроническая травма сопровождается хроническими воспалительными процессами и соответствующими клеточными нарушениями (паракератозом).
Различают две разновидности паракератоза в зависимости от направления распространения — вглубь или по плоскости:
Поверхностный паракератоз имеет тенденцию к распространению по плоскости, по всей поверхности шейки матки. Характеризуется незначительной глубиной поражения. Реже озлокачествляется, легче поддается излечению, даже без оперативного вмешательства.
Виды
Различают две разновидности паракератоза в зависимости от направления распространения — вглубь или по плоскости:
- очаговый;
- поверхностный.
Поверхностный паракератоз имеет тенденцию к распространению по плоскости, по всей поверхности шейки матки. Характеризуется незначительной глубиной поражения. Реже озлокачествляется, легче поддается излечению, даже без оперативного вмешательства.
Очаговый паракератоз — это более серьезная патология. Он распространяется преимущественно вглубь, в подлежащие слои эпителия. Очаги по площади более мелкие, но могут быть множественными. Такой паракератоз сопровождает более серьезные заболевания и имеет больший риск перерождения в рак.
Как проявляется паракератоз?
Паракератоз достаточно длительное время не дает никаких признаков, поэтому обнаруживается на начальных этапах только благодаря регулярным осмотрам у гинеколога.
Что должно насторожить женщину:
- появление вагинальных выделений с неприятным запахом;
- скудная кровянистая мазня после полового контакта, и болезненность;
- боль внизу живота, может отдавать в поясницу.
Большинство симптомов возникают как следствие прогрессирования патологии или присоединения инфекционного агента.
Паракератоз – это не только результат инфекций, но и отличное условие для их возникновения. Появление выделений свидетельствует об инфицировании.
Кровянистые выделения и боли говорят о том, что в патологический процесс вовлекаются кровеносные сосуды, что также характерно для злокачественного процесса и должно насторожить.
Признаки гиперкератоза шейки матки и диагностика
Аномалия в целом протекает без каких – либо симптомов, почти никак себя не проявляя. Состояние женщины удовлетворительное, поэтому диагностика кератоза происходит во время визита к врачу по случаю планового профосмотра. Но все же кое-какие признаки у лейкоплакии существуют. Если инфекционное заболевание органов половой системы спровоцировало гиперкератоз, то могут возникнуть:
- влагалищный зуд, жжение;
- выделения с неприятным запахом;
- дискомфорт и боль во время полового акта или после него.
В процессе осмотра женский доктор обнаруживает поражение слизистой шейки в виде наличия белых бляшек. Белесоватый налет локализуется во влагалищной части, в области вульвы. Гинекология выделяет несколько форм данного заболевания:
- плоская или простая;
- бородавчатая или веррукозная.
Если во время не лечить плоскую лейкоплакию, то патология перерождается в бородавчатую форму и выглядит как бугристое поражение слизистой белого цвета.
Диагноз
Для установления вида лейкоплакии проводится ряд обследований. Наиболее полно отобразят клиническую картину биопсия, УЗИ, мазок на онкоцитологию и исследование мазка на гистологию. Элементы гиперкератоза – атипичные клетки, которые могут дать прогрессивное развитие и превратиться в онкологию. Стратегия лечения напрямую зависит от выявленной формы.
Диагностика
Для правильной врачебной тактики необходим ряд диагностических мероприятий:
- гинекологический осмотр в зеркалах;
- кольпоскопия;
- определение ВПЧ у женщины;
- мазок на микрофлору;
- цитологическое исследование;
- гистологический анализ.
Важно. Заключение «паракератоз» выдается пациентке на основании данных цитологического или гистологического исследования и клинической картины. Данных только лишь визуального осмотра мало для постановки диагноза.
Во время гинекологического осмотра врач оценивает состояние слизистой оболочки шейки матки и стенок влагалища. Если он подозревает любые нарушения, должна быть проведена кольпоскопия.
Кольпоскопия — это осмотр шейки матки припомощи особого микроскопа, кольпоскопа. Позволяет выявить локализацию патологического процесса.
Анализ на ВПЧ определит вероятность развития заболеваний, ассоциированных с наличием этого вируса.
Мазок на микрофлору дает информацию об инфицировании некоторыми бактериями и о присутствии воспаления.
Цитологическое исследование позволит обнаружить клетки, характерные для паракератоза.
Гистологическое исследование проводится после биопсии. При биопсии необходимо взять кусочек ткани из очага поражения. Под микроскопом будет определено наличие патологии, а также глубина нарушений в структуре тканей.
Таблетки панкреатин состав
Медицинское применение препарат нашел в качестве лекарственного средства, восполняющего недостаточную панкреатическую секреторную функцию организма, а также он используется как вспомогательное средство, способствующее пищеварению при нарушениях в режиме питания.
Помимо фармакологического дженерика с одноименным названием существует множество аналогов, отличающихся преобладанием какого либо из ферментов, а также наличием либо отсутствием желчных кислот. В числе наиболее известных Мезим, Фестал, Креон, Энзистал.
Их объединяют присутствующие в составе:
- Глюкоза, сахароза или лактоза;
- Красители;
- Крахмал, тальк, стеарат магния;
- Поливидон (кросповидон).
Методы лечения
Паракератоз нельзя оставлять без наблюдения, должна быть обязательно проведена терапия. Лечение паракератоза состоит из двух этапов:
- Устранение основной непосредственной причины.
- Ликвидация очага паракератоза.
Поскольку причиной могут быть и гормональные колебания, и инфекция, и хроническая травматизация шейки, сначала проводят лечение основного заболевания. Врач назначает курс антибактериальных препаратов, в зависимости от мазка на микрофлору и чувствительности бактерий к антибиотикам. Курс противовирусных препаратов назначают, если обнаружены онкогенные типы ВПЧ.
Может быть рациональным прием гормональных препаратов, а также правильный подбор контрацептивов.
Возникший очаг паракератоза в 90% случаев требует оперативного вмешательства, что можно объяснить поздним обращением за медицинской помощью.
Методы хирургического воздействия:
- диатермокоагуляция — прижигание патологических очагов при помощи электрического тока;
- лазерное удаление – деструкция участков паракератоза при помощи лазера;
- криодеструкция – воздействие жидкого азота на патологические ткани с последующим их омертвением;
- конизация шейки матки – удаление скальпелем участка шейки матки с патологическими изменениями.
Метод оперативного вмешательства избирается в соответствии с желанием женщины в будущем беременеть, а также с риском озлокачествления.
Наиболее щадящий метод — воздействие лазера, а наиболее травматичный — конизация шейки, она применяется при подозрении на онкологию.
Методы терапии
Выбор способа лечения зависит от многих факторов. Учитывается возраст пациентки, вид и распространенность очагов паракератоза, желание женщины иметь в дальнейшем детей.
Лечение паракератоза шейки матки складывается из двух составляющих:
- Устранение причин возникновения основного заболевания;
- Избавление от патологических очагов ороговения.
Консервативная терапия включает в себя применение следующих средств: антибактериальные, противовирусные и противовоспалительные препараты. Также важной частью лечения является использование средств, повышающих иммунитет женского организма.
При выявленных изменениях гормонального фона применяются препараты, содержащие в себе женские половые гормоны. Основные методы, применяемые с целью удаления патологических очагов:
- Диатермокоагуляция;
- Лазерная вапоризация;
- Криолечение;
- Аргоноплазменная коагуляция.
Осложнения
Паракератоз – не самостоятельное заболевание, часто это проявление лейкоплакии или хронических заболеваний шейки матки. При своевременном обращении и следовании рекомендациям врача патология может самостоятельно исчезнуть.
Важно. Запущенная лейкоплакия и нелеченные хронические заболевания в совокупности с инфицированием ВПЧ и в дальнейшем будут влиять на неправильные процессы клеточного деления. Наихудшим исходом может оказаться рак шейки матки.
Панкреатит и различные виды алкоголя
С развитием производства алкогольной продукции, на рынке появилось много разновидностей спиртосодержащих товаров. Разница в них вкусовая и в содержании этилового спирта.
Многие потребители алкоголя считают, что если в алкогольной продукции низкое содержание этилового спирта, значит и вред будет незначительный. Но это лишь домыслы зависимых от употребления людей.
Любая форма напитка: пиво, вино, водка, при развивающейся патологии панкреатита строго противопоказана.
Наиболее опасен этиловый спирт для женского пола. Статистика показывает, что употребление женщинами спиртосодержащих напитков вызывает у них затяжную ремиссию, что существенно отличается от мужского обострения.
Пиво и панкреатит
Методом проведения исследований учеными доказано, что пивной алкоголизм наносит более существенный вред организму человека, чем крепкие алкогольные напитки. Данный факт служит причиной частого попадания от пива в лечебное учреждение, чем от других спиртосодержащих продуктов.
Влияние алкогольного опьянения на панкреатит, вызывает серьезные последствия для организма и поджелудочной, а сам алкоголь способен полностью купировать работу органа и спровоцировать появление хронических заболеваний. Поэтому пиво при панкреатите не только вредно, но и опасно.
Красное вино
- обильное содержание этилового спирта;
- высокое содержание органической кислоты, сахара;
- вино повышает содержание глюкозы, что при панкреатите является сильным раздражителем;
- искусственные красители, синтетические ароматизаторы – это провоцирует обострение заболевания.
Можно ли пить красное вино при панкреатите? Употребление винного напитка любого состава и крепости полностью запрещено, так как приносит в первую очередь разрушение клеточного состава внутренних органов и негативные последствия для организма, появлением острой симптоматики.
Профилактика заболевания
Паракератоз нельзя предупредить специфическими методами. Профилактику можно свести к следующим пунктам:
- регулярный осмотр у гинеколога, включающий цитологическое исследование мазков, анализ микрофлоры;
- использование подходящих методов контрацепции. Вопрос приема гормональных препаратов должен обсуждаться с врачом;
- предохранение от ЗППП и ВПЧ;
- своевременное лечение воспалительных заболеваний;
- здоровый образ жизни, сводящий к минимуму переутомление, стресс, неправильное питание.
Наличие паракератоза – не повод для паники, лечебные мероприятия должны осуществляться в плановом порядке. Самым главным пунктом профилактики является врачебный контроль, поскольку только гинеколог может оценить степень соблюдения последующих пунктов и скорректировать их.






 

 

 
 





 
							
							
						 
							 
 
